Носовое кровотечение (НК) – одно из самых распространенных показаний к экстренной госпитализации. Пациенты с НК составляют до 20% ургентных ЛОР-больных. В ряде случаев НК носят упорный, рецидивирующий, угрожающий жизни характер. В этих случаях консервативные методы лечения, как правило, не дают эффекта, что требует применения хирургических способов остановки НК. Хирургические вмешательства при НК по данным различных авторов применяются у 4,5 – 17% больных. При выборе способа вмешательства имеет значение не только причина НК, но и локализация его источника (передние и задние отделы).При передних НК источником является зона Киссельбаха. Задними НК считаются, когда при передней риноскопии источник кровотечения определить не удается. При рецидивирующих НК важно учитывать и определять тактику лечения, в т.ч. и хирургическую, сообразно клинико-патогенетической классификации носовых кровотечений (В.И. Тимошевский, А.Н. Мамаев, 2007).
Клиническое наблюдение
В апреле 2008 года в ЛОР отделение НМХЦ в экстренном порядке поступила Больная Т., 72 лет с диагнозом «носовое кровотечение». Представлял интерес пятнадцатилетний анамнез рецидивирующих НК. В течение первых нескольких лет они были незначительными и купировались, как правило, самостоятельно. С течением времени к ним присоединилось затруднение носового дыхания слева. Однако и этот факт не заставил пациентку обратиться за квалифицированной медицинской помощью и провести комплексное обследование. За последний год НК стали носить упорный характер, длились по 2-3 суток, мешали засыпанию в ночное время. Состояние усугублялось сопутствующей патологией – гипертонической болезнью, хроническим гломерулонефритом, сочетанным клапанным пороком сердца. В конце прошлого года имел место эпизод массивной кровопотери, больная была госпитализирована в экстренном порядке в отделение реанимации одной из городских больниц Москвы. Обнаружено новообразование левой половины полости носа, которое и являлось источником кровотечений. От предложенных оперативных вмешательств пациентка отказалась.
При обращении в НМХЦ им. Н.И. Пирогова было рекомендовано повторить компьютерную томографию головы для определения распространенности новообразования. Стало возможным однозначно оценить результаты обследования и разработать адекватную тактику хирургического лечения: новообразование исходило из средне-верхних отделов перегородки носа, не имело инфильтративного роста и распространялось только в левый общий носовой ход.
Учитывая наличие у пациентки сочетанной патологии, от наркоза решено было отказаться. В рамках предоперационной подготовки и ведения раннего послеоперационного периода назначена антигипертензивная терапия. В начале мая 2008 года под местной анестезией пациентке было выполнено удаление новообразования правой половины полости носа с использованием метода радиоволновой хирургии. Больная операцию перенесла удовлетворительно.
![]() | ![]() |
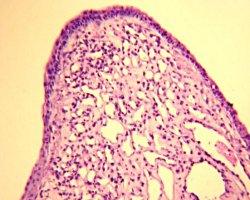
Патоморфологическим субстратом новообразования являлась гемангиома, покрытая респираторным эпителием.
Ранний послеоперационный период протекал гладко. На вторые сутки тампоны из носа были удалены. Кровотечения не наблюдалось. На 3 сутки пациентка была выписана под амбулаторное наблюдение отоларинголога. До настоящего времени рецидивов носовых кровотечений не отмечалось.



























