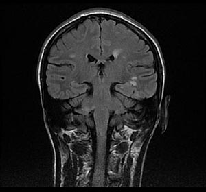
В отделение неврологии поступила 33-летняя пациента с жалобами на шаткость при ходьбе, онемение нижних конечностей, нарушение функции тазовых органов При сборе анамнеза установлено, что с октября 2009 г после перенесенной около месяца назад респираторной вирусной инфекции, сопровождавшееся катаральными проявлениями, лихорадкой, стала отмечать онемение в нижних конечностях, которое частично регрессировало в течение последующих нескольких недель без лечения. С декабря 2009 г стала отмечать появление нарушения контроля функции тазовых органов, онемение в области живота. Данные нарушения постепенно прогрессировали, что заставило обратиться в медицинское учреждение. При обследовании проведено МРТ головного мозга, не выявившее патологии. Специфическое лечение не назначалось. В начале января 2010 г к вышеуказанным проявлениям внезапно присоединилась выраженная шаткость и неустойчивость при ходьбе, скованность в ногах. Резко снизилась трудоспособность, больная был ограничена в передвижении по квартире, в связи с чем с направительным диагнозом нарушение мозгового кровообращения госпитализирована. При поступлении в отделение в неврологическом статусе: выявлялся мелкоамплитудный нистагм в горизонтальной и вертикальной плоскости с ротаторным компонентом. Имело место оживление сухожильных рефлексов с наличием патологических стопных рефлексов (симптом Бабинского с двух сторон). Брюшные рефлексы отсутствовали. Отмечена выраженная неустойчивость при ходьбе, значительные нарушения при выполнении координаторных проб, с наличием интенционного тремора. Чувствительные нарушения представлены гипестезией по проводниковому типу с уровня Th10, а также имело место нарушение функций тазовых органов по центральному типу Учитывая возраст пациентки, отсутствие факторов риска развития сосудистых осложнений, данные анамнеза о факте перенесенного вирусного заболевания накануне развития клинических проявлений, было высказано предположение, которое не позволяло заподозрить демиелинизирующее заболевание центральной нервной системы. Для подтверждения диагноза проведено МРТ головного мозга:
![]() | ![]() |
![]() | ![]() |
![]() |
Картина множественных очаговых изменений вещества головного мозга (очаги расположены перивентрикулярно, паракаллезно, в области ствола головного мозга) размерами от 3 до 12 мм демиелинизирующего характера с признаками накопления контрастного вещества 6 очагами Таким образом, учитывая данные анамнеза, клинической картина, картины МРТ головного мозга с применением внутривенного контрастирования выставлен диагноз: острый рассеянный энцефаломиелит, что потребовало назначение курса пульс-терапии Солумедролом по схеме: 1000 мг внутривенно капельно в течение 5 дней. На фоне проводимого лечения отмечена значительная положительная динамика: В течение первых двух дней отмечено пациентка отмечает уменьшение шаткости при ходьбе, в неврологическом статусе регрессировали явления нистагма, признаки чувствительных нарушений. В течение последующих 4 дней имело место снижение общего рефлекторного фона сухожильных рефлексов, появление брюшных рефлексов и отсутствие патологических стопных рефлексов при клиническом осмотре. Пациентка без затруднений выполняла координаторные пробы, чувствительные нарушения выражены не были, а также отмечено восстановление контроля функций тазовых органов. Таким образом, восстановлена трудоспособность, пациентка вернулась к активной физической и умственной деятельности. По завершении курса лечения в стационаре была выписана под наблюдение невролога поликлиники по месту жительства.






























