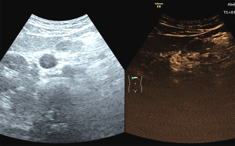
В Пироговском Центре внедрена и успешно применяется методика УЗ-исследования с контрастным усилением, что выводит диагностику паренхиматозных и сосудистых заболеваний на новый качественный уровень.
С 2015 года в Пироговском Центре проводится системная работа по применению ультразвукового контрастного препарата в лечебных целях (потенциировании эффекта) при выполнении УЗ-абляции образований печени, поджелудочной железы, миомы матки. С 2018 года УЗ-исследование с контрастным усилением применяется и в диагностических целях при выполнении УЗ-исследований органов и сосудов брюшной полости, забрюшинного пространства, молочной, щитовидной желез, мягких тканей. Метод позволяет не только выявить образования, но и провести дифференциальную диагностику между доброкачественными и злокачественными поражениями, оценить проходимость магистральных артерий и вен органов брюшной полости, выполнить УЗ-холангиографию, гистеросальпингографию.
Показания к применению УЗИ с контрастированием: очаговые поражения печени, поджелудочной железы, селезенки, почек (кисты, солидные образования, инфекционные болезни), патология брюшного отдела аорты, воротной вены.
Метод УЗ-исследования с контрастным усилением практически не имеет противопоказаний, возможен для проведения исследований пациентам, которым противопоказано применение йодсодержащих контрастных препаратов.




























